
Crowns, Bridges & Restorative Dentistry
Restorative Dentistry is a very broad category. It encompasses many different dental procedures used to restore teeth to proper health and function. These are the most common procedures performed in general dentistry because they correct the most common dental problems.
What Does Restorative Dentistry Involve?
Restorative dentistry is anything that builds a tooth back up after it has suffered loss of tooth structure from cavities, cracks, or complete tooth loss.





-
Fillings – At Dominion Dental Spa, we use tooth-colored composite filling material. This allows us to replace unsightly metal fillings or dark tooth decay with the most cosmetic dental material available. Fillings are necessary to treat cavities and old, broken-down fillings. Composite filling material comes in a wide variety of colors, so our fillings are virtually invisible. Click here for Dominion Dental Spa Cosmetic Dentistry.
-
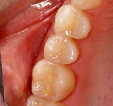
Crowns – A dental crown (or dental cap) covers every exposed surface of the tooth. Crowns are required when there is not enough healthy tooth structure remaining to support normal function. Some tooth problems that necessitate crowns are very large cavities, tooth fractures or cracks, and after root canal treatment. We are able to create dental crowns from tooth-colored materials like metal-free porcelain ceramic or zirconia, which are undetectable by anyone except your dentist.
-
Inlays and Onlays – Inlays and onlays are similar to dental crowns because they restore missing tooth structure, and they are made outside the mouth. However, inlays and onlays only restore the affected portion of the external tooth structure. Inlays and onlays are made from a variety of dental materials, including gold and porcelain.
-
Dental Implant Crowns – When a missing tooth is replaced with a dental implant, the final step in the implant process is the implant crown. This crown recreates the visible portion of the tooth. It completely fills in the space of the missing tooth and returns that site to full chewing function. Dental implant crowns are made from porcelain so they blend in with the surrounding teeth for the most natural appearance. They typically have an abutment and metal substructure for strength.
-
Bridges – In cases where a dental implant is not feasible, a missing tooth can be replaced with a bridge. A fixed bridge uses neighboring teeth as retainers to hold a false tooth (“pontic”) between them. A bridge looks like three (or more) crowns fused together. Dental bridges are an option to replace a missing tooth or teeth where the two adjacent teeth already need crowns.
What Can You Expect from a Restorative Dentistry Appointment?
For most restorative visits, the area of your mouth needing dental work will be numbed with local anesthetic. This is to prevent any discomfort or pain while we work. In the case of a filling, the tooth will be prepared by removing the cavity and any old filling material and restored with the new tooth-colored filling all in one visit.
Indirect restorations, like crowns, inlays, onlays and bridges, typically require two visits. During the first visit the tooth is prepared, and a provisional restoration (also called a temporary crown) is placed. The temporary crown holds everything in place while a high quality dental lab creates your new restoration. At the second visit, the provisional (temporary) restoration is removed, the tooth is cleaned, and the new crown is cemented into place. The second visit is typically short and does not usually require local anesthetic. In some cases we can do the treatment same-day.

